Россия, Республика Северная Осетия — Алания, Владикавказ, Московская улица
Телефон:
+7 (867) 257-73- Показать номер
Пн-сб: 08:30—20:00
whatsapp telegram vk email

Левосторонняя пневмония: чем отличается, и как лечится? Полное руководство

Как возникает заболевание?

Лёгкие — ключевой парный орган дыхательной системы, где происходит обмен кислорода и углекислого газа. Лёгочная ткань состоит из уникальных клеток, альвеол, которые отвечают за основную функцию дыхания.

Анатомически левое и правое лёгкое различаются. Правое лёгкое состоит из трёх долей, а левое — из двух, что связано с сердечной вырезкой. Каждая доля делится на более мелкие сегменты.

Воспалительные процессы в альвеолярной ткани возникают из-за проникновения и активности патогенных микроорганизмов — вирусов, бактерий или грибков. На начальных стадиях заболевания поражаются бронхи, а затем воспаление может распространиться на более обширные участки.

Левосторонняя пневмония имеет свои особенности: воспаление может возникнуть после травм, хирургических операций или инъекций, проведённых с нарушением стерильности. В таких случаях инфекция может распространяться через лимфатическую или кровеносную систему.

Нисходящее развитие левостороннего воспаления лёгких может наблюдаться при инфекционном эндокардите. В этом состоянии бактериальное воспаление внутренней оболочки сердца может перейти на соседние лёгочные ткани.

Симптомы пневмонии, как правило, проявляются в одном лёгком — левом или правом. Одностороннее воспаление может охватывать разные площади, что определяет форму заболевания:

  • Очаговая форма — на небольшом участке.
  • Сегментарная или полисегментарная форма — в одном или нескольких сегментах. В правом лёгком чаще всего поражаются II, VI и X сегменты, в левом — VI, VIII, IX и X.
  • Верхнедолевая или нижнедолевая пневмония — в одной доле.
  • Долевая форма — во всех долях лёгкого.

Если воспалительный процесс затрагивает всё лёгкое, фиксируется тотальная форма воспаления.

Левосторонняя пневмония может возникнуть не только в результате воздушно-капельного заражения. Источниками заболевания могут стать хирургические вмешательства, бактериальные инфекции внутренних органов и эндокардит.

Как возникает заболевание

Левосторонняя пневмония представляет собой воспаление легочной ткани, затрагивающее левую долю легких. Врачи отмечают, что ее симптомы могут отличаться от правосторонней пневмонии, включая более выраженные боли в груди и одышку. Диагностика включает рентгенографию и компьютерную томографию, что позволяет точно определить локализацию воспалительного процесса. Лечение, как правило, основывается на антибиотикотерапии, однако выбор препаратов зависит от возбудителя инфекции. Важно также учитывать общее состояние пациента и наличие сопутствующих заболеваний. Врачи подчеркивают, что ранняя диагностика и адекватное лечение играют ключевую роль в успешном выздоровлении и предотвращении осложнений.

Пневмония или воспаление легких. Причины заболевания, симптомы и лечение.Пневмония или воспаление легких. Причины заболевания, симптомы и лечение.

Отличие правосторонней и левосторонней пневмонии

Левосторонняя пневмония встречается довольно редко из-за анатомических особенностей бронхиального дерева. Левый бронх уже правого, что затрудняет его дренирование и кровоснабжение. Эта структура негативно влияет на эффективность лечения, так как активные компоненты медикаментов не могут в достаточном объёме достигать очага воспаления. Это может привести к затяжному течению болезни и серьезным осложнениям.

Анатомические характеристики способствуют более легкому и быстрому проникновению возбудителей пневмонии в правое легкое. Наиболее распространённые патогены включают гемофильную палочку, пневмококк и стафилококк. Левое легкое чаще поражается атипичными возбудителями, которые атакуют его клетки на фоне ослабленного иммунитета.

Воспаление в верхней доле левого легкого проявляется стремительным развитием и ухудшением клинической картины. Нижнедолевая левосторонняя пневмония чаще наблюдается у пациентов с сердечно-сосудистыми заболеваниями.

Отличие правосторонней

Симптом/Характеристика Левосторонняя пневмония Правосторонняя пневмония (для сравнения)
Локализация боли Часто в левой части грудной клетки, может отдавать в левое плечо Часто в правой части грудной клетки, может отдавать в правое плечо
Кашель Может быть сухим или с мокротой, часто с кровью Может быть сухим или с мокротой, часто с кровью
Одышка Может быть выражена в зависимости от тяжести Может быть выражена в зависимости от тяжести
Лихорадка Часто присутствует Часто присутствует
Возможные осложнения Плеврит, абсцесс легкого, сепсис, дыхательная недостаточность (как и при правосторонней) Плеврит, абсцесс легкого, сепсис, дыхательная недостаточность
Диагностика Рентген грудной клетки, КТ, анализ крови, анализ мокроты Рентген грудной клетки, КТ, анализ крови, анализ мокроты
Лечение Антибиотики (подбираются в зависимости от возбудителя), противокашлевые средства, муколитики, симптоматическая терапия (жаропонижающие, обезболивающие) Антибиотики (подбираются в зависимости от возбудителя), противокашлевые средства, муколитики, симптоматическая терапия (жаропонижающие, обезболивающие)
Отличия в лечении Нет принципиальных отличий в лечении левосторонней и правосторонней пневмонии, лечение зависит от тяжести и возбудителя Нет принципиальных отличий в лечении левосторонней и правосторонней пневмонии, лечение зависит от тяжести и возбудителя

Клиническая картина

Тяжесть заболевания, тип патогена, его чувствительность к лечению, состояние иммунной системы, возраст пациента и размеры пораженного участка — все эти факторы влияют на клиническую картину пневмонии.

Внегоспитальная пневмония проявляется в двух основных синдромах:

  • Типичный синдром. Заболевание начинается резко с повышения температуры и кашля с гнойной мокротой. Пациенты ощущают боль в груди. При обследовании выявляются участки уплотнения в легочной ткани. Этот синдром возникает при заражении аэробными и анаэробными микроорганизмами, часть из которых обитает в ротовой полости.
  • Атипичный синдром. Пневмония проявляется с постепенным ухудшением состояния. Для этого типа характерны внелегочные симптомы: головная боль, мышечные боли и расстройства пищеварения. Рентгенологическое исследование показывает незначительные изменения в легких. Этот синдром развивается при инфицировании хламидиями, туляремией, гистоплазмозом, микоплазмами, легионеллами и клебсиеллами.

Левосторонняя пневмония — это воспаление легких, которое затрагивает левую долю. Многие пациенты отмечают, что симптомы могут быть схожи с правосторонней пневмонией, однако левосторонняя форма может вызывать более выраженные боли в груди и одышку. Важно понимать, что диагностика включает рентгенографию и анализы, которые помогают отличить левостороннюю пневмонию от других заболеваний. Лечение обычно включает антибиотики, которые подбираются в зависимости от возбудителя инфекции. Также рекомендуется постельный режим, обильное питье и, в некоторых случаях, физиотерапия. Люди часто подчеркивают важность раннего обращения к врачу, так как запущенные случаи могут привести к серьезным осложнениям.

В чем РАЗНИЦА МЕЖДУ БАКТЕРИАЛЬНОЙ И ВИРУСНОЙ ПНЕВМОНИЕЙВ чем РАЗНИЦА МЕЖДУ БАКТЕРИАЛЬНОЙ И ВИРУСНОЙ ПНЕВМОНИЕЙ

Признаки заболевания в зависимости от типа возбудителя

Симптоматика пневмонии зависит от типа инфекционного агента. Различия удобно представить в таблице.

Возбудитель Особенности клинической картины
Микоплазма Часто вызывает гемолитическую анемию, мультиформную эритему, энцефалит, поперечный миелит и поражение барабанных перепонок.
Легионелла Проявляется нарушениями сознания, расстройствами функций печени и почек, а также снижением уровня натрия в моче.
Хламидии При осмотре выявляются свистящие хрипы, признаки ангины и осиплость голоса.
Золотистый стафилококк Первые симптомы включают лихорадку и одышку. Позже может появиться мокрота и уплотнение легочной ткани.
Нокардии Характерно образование специфических метастатических очагов на коже и в центральной нервной системе.

Пневмония может развиться как осложнение на фоне основной инфекции:

  • Во время сезонной вспышки определённого штамма вируса гриппа.
  • При кори или ветряной оспе, сопровождающихся характерной сыпью.
  • При синцитиальном вирусе — респираторной инфекции, чаще всего встречающейся у детей и людей с ослабленным иммунитетом.
  • Цитомегаловирус — у пациентов с ВИЧ и у тех, кто проходит иммуноподавляющую терапию после трансплантации органов.

Если пневмония является первичной патологией, клиническая картина проявляется резким повышением температуры, лихорадкой и упорным сухим кашлем без выделения мокроты. Также характерно появление внелегочных симптомов. На фоне кори, гриппа или ветряной оспы наблюдаются нарушения дыхательных функций, что может привести к развитию вторичного воспаления легких.

Вторичная пневмония может возникнуть одновременно с основным инфекционным заболеванием, независимо от его вирусной или бактериальной природы. В некоторых случаях воспаление легких проявляется как отдалённое осложнение, развиваясь через несколько дней после ослабления основных симптомов.

Основные симптомы

Клинические симптомы данной формы пневмонии в целом схожи с проявлениями других типов. Пациенты обычно отмечают:

  • Существенное повышение температуры тела до 40°С.
  • Устойчивый кашель.
  • Ночные приступы потливости.
  • Вязкую мокроту.

При обследовании можно наблюдать тахипноэ, синюшность ногтей и акроцианоз.

Одна и та же форма пневмонии может проявляться по-разному у различных пациентов. Наличие одинакового возбудителя не гарантирует схожесть течения заболевания и прогноз для разных больных.

Основные симптомы

Внебольничная верхнедолевая левосторонняя пневмонияВнебольничная верхнедолевая левосторонняя пневмония

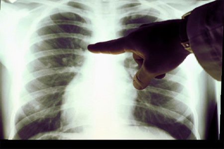
Диагностика

Первые симптомы левосторонней пневмонии могут быть замечены врачом во время осмотра пациента. При дыхательных движениях левая часть грудной клетки может отставать. При перкуссии над пораженными участками левого легкого слышен более короткий звук. Аускультация выявляет мелкопузырчатые хрипы и признаки крепитации.

Окончательный диагноз ставится после рентгенологического исследования. На рентгеновских снимках в верхней или нижней доле легкого видны участки инфильтрации. Для получения более детальной информации может быть рекомендовано выполнение компьютерной томографии или бронхоскопии.

Лабораторная диагностика. Для определения типа возбудителя проводится бактериологический анализ мокроты.

Анализ крови позволяет выявить уровень лейкоцитоза с изменением формулы и повышенную скорость оседания эритроцитов (СОЭ). Биохимический анализ крови помогает определить параметры основного плазменного белка.

Диагностика

Лечение

Как уже упоминалось, левосторонняя пневмония требует продолжительного и комплексного лечения.

Перед медицинскими специалистами стоят несколько ключевых задач:

  1. Устранение инфекционного возбудителя.
  2. Восстановление дренажной функции бронхов.
  3. Стабилизация иммунного ответа и повышение устойчивости легких к внешним воздействиям.

Антибактериальная терапия

Антибиотики назначают как можно раньше, при первых признаках пневмонии. Это помогает облегчить симптомы и предотвратить осложнения. Выбор препарата и продолжительность лечения определяет врач.

Если воспаление легких протекает без обострения хронических заболеваний и имеет легкую или среднюю степень тяжести, обычно назначают антибиотики из группы аминопенициллинов или макролидов. При осложнениях, связанных с сопутствующими заболеваниями, рекомендуется использовать цефалоспорины II-III поколения или амоксиклав в сочетании с современными макролидами.

Если в течение 2-3 дней состояние пациента не улучшается, врач может изменить антибактериальный препарат. Хорошие результаты показывают фторхинолоны III-IV поколения, такие как моксифлоксацин и левофлоксацин. При отсутствии осложнений лечение может проводиться на дому. Пациент принимает все назначенные медикаменты, а лечащий врач периодически контролирует его состояние. Однако даже при положительных изменениях нельзя самостоятельно прекращать прием препаратов, так как это может ухудшить течение болезни, особенно у младенцев, детей и пожилых людей. Только врач имеет право назначать или отменять лечение.

Тяжелая форма пневмонии требует госпитализации в специализированное отделение. Антибактериальные препараты вводятся внутримышечно или внутривенно. В начале лечения применяются аминопенициллины. Если положительный эффект не наблюдается, переходят к цефалоспоридам последнего поколения, макролидам и респираторным фторхинолонам.

Антибактериальная терапия

Дополнительные терапевтические методы

Для разжижения мокроты и облегчения её выведения применяются муколитические препараты. Эти средства активируют работу ресничек бронхиального эпителия. Для детоксикации организма рекомендуются солевые растворы, глюкоза и альбумин. Иммунные препараты помогают повысить защитные функции организма.

Щелочная вода положительно влияет на дренажные свойства бронхов. Как только температура нормализуется, можно начинать массаж и выполнять упражнения прямо в постели. Для облегчения отхождения мокроты пациентам с левосторонней пневмонией рекомендуется больше находиться на правом боку. Дыхательная гимнастика также приносит пользу.

После выздоровления от левосторонней пневмонии рекомендуется пройти курс иммуностимулирующих препаратов и витаминных комплексов для укрепления иммунной системы.

Полное восстановление пациентов после перенесённой левосторонней пневмонии наблюдается почти в 70% случаев. Такие высокие показатели объясняются ранним обращением за медицинской помощью, тщательной диагностикой и комплексным лечением. Риск возникновения осложнений чаще всего связан с наличием сопутствующих хронических заболеваний, ослабляющих защитные функции организма.

Записаться на приём к инфекционисту

Страница для записи к инфекционисту ➤

Запись к другим специалистам:
Терапевт
Пульмонолог
Гастроэнтеролог
Выбрать врача ➤
Записаться на диагностику ➤
Записаться на медицинскую процедуру ➤

Вопрос-ответ

Как лечится левосторонняя пневмония?

Левосторонняя верхнедолевая пневмония формируется при попадании в организм патогенных микроорганизмов. Поэтому для лечения заболевания используются антибиотики. Срок приема препаратов назначается врачом-пульмонологом в зависимости от особенностей воспаления легких.

Сколько проходит левосторонняя пневмония?

Воспаление средней и тяжелой степени подлежат терапии в стационаре с помощью внутривенного введения лекарств. Курс приема антибиотиков при легкой форме пневмонии составляет 7–10 дней. Атипичная пневмония лечится в течение 14–21 дня.

Можно ли лечить одностороннюю пневмонию дома?

Вне зависимости от причины, пневмония — серьезная болезнь, которую нельзя пытаться лечить самостоятельно. При первых подозрениях необходимо как можно быстрее обратиться к врачу. Определить болезнь можно с помощью рентгенографии или компьютерной томографии легких.

Какие последствия после левосторонней пневмонии?

Основной риск при несвоевременном или неэффективном лечении пневмонии представляют дыхательная недостаточность, гнойный плеврит, рубцовая трансформация легочной ткани (фиброз), сепсис, абсцесс легкого, полиорганная недостаточность, нарушение сердечного ритма, поражение почек, менингит и др.

Советы

СОВЕТ №1

Обратите внимание на симптомы. Левосторонняя пневмония может проявляться не только кашлем и одышкой, но и болями в грудной клетке, особенно при глубоком вдохе. Если вы заметили такие симптомы, не откладывайте визит к врачу.

СОВЕТ №2

Не игнорируйте профилактику. Чтобы снизить риск развития левосторонней пневмонии, следите за своим иммунитетом: правильно питайтесь, занимайтесь физической активностью и избегайте переохлаждений.

СОВЕТ №3

Следуйте указаниям врача. При диагностировании левосторонней пневмонии важно строго соблюдать назначенное лечение, включая курс антибиотиков и другие медикаменты, а также не забывать о регулярных контрольных обследованиях.

СОВЕТ №4

Обратите внимание на реабилитацию. После перенесенной пневмонии важно уделить время восстановлению легочной функции. Дыхательная гимнастика и физиотерапия могут помочь в этом процессе.

Ссылка на основную публикацию
Похожее