Россия, Республика Северная Осетия — Алания, Владикавказ, Московская улица
Телефон:
+7 (867) 257-73- Показать номер
Пн-сб: 08:30—20:00
whatsapp telegram vk email

Симптомы пневмонии: как определить заболевание ещё до её начала и предотвратить осложнения?

Как распознать самые первые признаки начинающейся пневмонии?

На начальных этапах болезни симптомы могут проявляться с разной степенью выраженности. Важную роль играют возраст пациента, состояние иммунной системы и индивидуальные особенности организма. Пневмония может проявляться остро, что приводит к резкому ухудшению самочувствия. В других случаях заболевание развивается постепенно, на протяжении нескольких дней или даже недель.

Среди первых признаков, указывающих на пневмонию, выделяют:

  • Кашель, который сохраняется несколько дней или недель. Со временем он не исчезает, а усиливается. Кашель может быть различным: с выделением мокроты или без, частым или редким.
  • Повышение температуры тела. Возможна лихорадка с температурой до 39-40 градусов, в других случаях температура может оставаться на уровне субфебрилитета (37 – 37,5 градусов).
  • Одышка и ощущение нехватки воздуха.
  • Увеличенная утомляемость.
  • Хрипота.
  • Насморк, боль и першение в горле.
  • Спутанность сознания.
  • Потеря аппетита, тошнота, жидкий стул.

С момента заражения до появления первых симптомов может пройти от 2 до 4 дней. Как только инкубационный период завершится, начнут проявляться первые признаки заболевания. Чтобы предотвратить его дальнейшее развитие, важно незамедлительно обратиться к врачу.

Врач-аллерголог-иммунолог Ильинцева Н. В. в МЦ Аллегрис: кашель или пневмония?

первые признаки начинающейся пневмонии

Врачи отмечают, что раннее выявление симптомов пневмонии может значительно улучшить прогноз лечения. Первые признаки заболевания часто могут быть неочевидными, но их важно распознать. К числу таких симптомов относятся постоянный кашель, одышка, повышенная утомляемость и легкое повышение температуры. Врачам также известно, что пациенты могут жаловаться на боли в груди, особенно при глубоком вдохе. Нередко пневмония сопровождается общим недомоганием и потерей аппетита. Важно помнить, что даже легкие симптомы могут указывать на начало воспалительного процесса в легких. Поэтому при появлении этих признаков рекомендуется незамедлительно обратиться к врачу для диагностики и своевременного лечения. Раннее вмешательство может предотвратить развитие серьезных осложнений.

Пневмония или воспаление легких. Причины заболевания, симптомы и лечение.Пневмония или воспаление легких. Причины заболевания, симптомы и лечение.

Симптомы пневмонии у взрослого человека

Факторы, способствующие возникновению заболевания у взрослых, включают:

  • Ослабление иммунной системы.
  • Переохлаждение организма.
  • Инфекционные болезни: грипп, бронхит и другие.

Наиболее заметным симптомом является интенсивный кашель, который считается основным признаком заболевания. Он может быть сухим, но чаще сопровождается выделением мокроты. Слизь имеет вязкую консистенцию и может быть желтоватого или зеленоватого цвета. При повреждении альвеол в мокроте могут появляться кровяные прожилки.

Со временем к кашлю добавляются и другие симптомы:

  • Боль в области груди.
  • Повышение температуры тела.
  • Затруднение при глубоком вдохе.
  • Озноб.
  • Учащенное сердцебиение и другие.

Клиническая картина пневмонии может варьироваться в зависимости от индивидуальной истории болезни.

Специалисты выделяют четыре возможных варианта течения заболевания:

  1. Начало болезни может напоминать обычную ОРЗ или грипп. У пациента резко поднимается температура, он ощущает слабость и мышечные боли. Сначала кашель сухой, но вскоре становится влажным. Больного мучает озноб, появляются боли в грудной клетке, одышка и ощущение нехватки воздуха.
  2. Заболевание может начинаться с небольшого повышения температуры на 0,5 градуса. Кашель влажный, в грудной клетке слышны хрипы. Человек чувствует слабость и головную боль.
  3. Пневмония может протекать скрыто. Температура тела остается нормальной, кашель отсутствует. Единственным признаком является общее недомогание, которое можно принять за обычную усталость. Пневмония может быть выявлена случайно во время ежегодной флюорографии.
  4. Заболевание может иметь затяжной характер, когда острая фаза сменяется ремиссией. В период затишья пациента беспокоит только сухой кашель. При обострении наблюдается повышение температуры, выделение мокроты и боли в груди.

Самостоятельно отличить воспаление легких от других заболеваний дыхательной системы бывает сложно. На мысль о пневмонии должны натолкнуть кашель с мокротой, который не проходит со временем, а лишь усиливается. Также стоит обратить внимание на повышение температуры, озноб и выраженную слабость.

Ключевым симптомом развивающейся пневмонии является затруднение при полном вдохе. Каждый глубокий вдох может сопровождаться кашлем или болью. Поставить диагноз только на основании осмотра невозможно. Для подтверждения пневмонии требуется качественная диагностика.

Симптоматика пневмонии зависит от возбудителя заболевания. Наиболее тяжелое течение наблюдается при гриппе H1N1 и легионеллезе. Эта форма пневмонии протекает остро и может сопровождаться осложнениями, которые трудно поддаются лечению.

Отличительные признаки пневмонии у подростков

Причины возникновения пневмонии у подростков аналогичны тем, что приводят к заболеванию у взрослых. Воспаление легких может быть вызвано как вирусами, так и бактериями, а риск его развития возрастает при ослабленном иммунитете.

Основным симптомом, вызывающим беспокойство, является кашель. Обычно он сухой, с небольшим количеством мокроты ржавого оттенка.

К другим проявлениям болезни относятся:

  • Резкое ухудшение общего состояния.
  • Повышение температуры тела.
  • Одышка и затрудненное дыхание.
  • Боль в грудной клетке, усиливающаяся при кашле и глубоких вдохах.
  • Усталость и упадок сил без видимых причин.
  • Ночная потливость.

Симптоматика пневмонии может варьироваться в зависимости от возбудителя инфекции:

  • Если заболевание вызвано стрептококками или стафилококками, у пациента наблюдается сильный кашель, температура тела поднимается до субфебрильных значений, усиливаются болевые ощущения в грудной клетке.
  • При вирусной пневмонии температура может резко повышаться, обычно наблюдается лихорадка, сопровождающаяся сильным кашлем и пенистой кровянистой мокротой.
  • Легкое повышение температуры, озноб, боли в суставах и мышцах, повышенная потливость и бледность кожи – признаки атипичной пневмонии, которую вызывают микоплазмы, легионеллы и хламидии.

У подростков в возрасте от 13 до 17 лет пневмония, как правило, протекает легче, чем у взрослых и пожилых людей. Прогноз обычно благоприятный, однако он может ухудшиться при наличии хронических заболеваний или состояний, связанных с иммунодефицитом.

признаки пневмонии у подростков

Пневмония — это серьезное заболевание, и многие люди не осознают, что его симптомы могут проявляться задолго до явных признаков. Часто на начальных стадиях пациенты отмечают легкую усталость, кашель или небольшую одышку, которые могут быть ошибочно восприняты как простуда или грипп. Важно обращать внимание на такие изменения в организме, как повышенная температура, потливость и боли в груди. Некоторые люди сообщают о чувстве давления в груди и затрудненном дыхании, что также может указывать на начало воспалительного процесса. Раннее распознавание этих симптомов и обращение к врачу могут значительно улучшить прогноз и ускорить выздоровление. Не стоит игнорировать даже легкие недомогания, особенно в сезон простуд, так как своевременная диагностика — ключ к успешному лечению.

Какие симптомы у пневмонии #shortsКакие симптомы у пневмонии #shorts

Отличия у пожилых людей

Пневмония у пожилых людей встречается довольно часто из-за снижения иммунной защиты и ухудшения функций дыхательной системы. С возрастом возрастает восприимчивость к инфекциям.

Первым признаком заболевания обычно является кашель. Он может быть сухим, а количество выделяемой мокроты минимально.

Пневмония представляет особую угрозу для пациентов с болезнью Альцгеймера, ослабленным иммунитетом или перенесших инсульт. У таких людей кашлевой рефлекс может быть ослаблен, что затрудняет диагностику заболевания.

Ярким признаком воспаления легких у пожилых людей является выраженная одышка. Она может беспокоить даже при незначительной физической активности и иногда возникает в состоянии покоя. Температура тела чаще всего повышена, однако в 20% случаев может оставаться в пределах нормы.

Иногда первым симптомом болезни становится апатия, сопровождающаяся хронической усталостью, дневной сонливостью и отказом от пищи. Человек теряет интерес к окружающим событиям и прежним увлечениям. Часто к этим симптомам добавляется недержание мочи, что может привести к ошибочному диагнозу — старческое слабоумие. Врача должны насторожить обострения хронических заболеваний, ухудшение состояния при сахарном диабете или сердечной недостаточности.

Если у пациента отсутствует кашель и не наблюдается повышение температуры, прогноз становится менее благоприятным. Поздняя диагностика может привести к серьезным осложнениям.

Пневмония у пожилых людей, находящихся на постельном режиме, является серьезной проблемой, с которой сталкиваются во всем мире. Риск развития отека легких увеличивается на фоне сердечной недостаточности, эмфиземы легких и хронической обструктивной болезни легких (ХОБЛ).

Отличия у пожилых людей

Как распознать пневмонию у детей?

У детей пневмония редко возникает как самостоятельное заболевание. Чаще всего она развивается как осложнение после простуд, гриппа, бронхита и других инфекций. Родителям следует внимательно следить за состоянием ребёнка, чтобы своевременно выявить признаки воспаления лёгких и начать лечение.

Пневмония у детей обычно начинается с общего недомогания и слабости. Затем появляются высокая температура, усиленная потливость и потеря аппетита. Дыхание становится более частым, и количество вдохов и выдохов может достигать 50 и более в минуту, в то время как нормой считается 20-40.

Признаки, указывающие на пневмонию у ребёнка:

  • После перенесённого ОРВИ или гриппа наблюдается временное улучшение, за которым следует резкое ухудшение состояния с повышением температуры и общей слабостью.
  • У ребёнка появляется одышка.
  • На фоне кашля и насморка можно заметить необычную бледность кожи.
  • Температура остаётся высокой, а жаропонижающие средства приносят лишь кратковременное облегчение.
  • Дети младше года становятся вялыми, капризными, спят дольше обычного и отказываются от пищи.

У детей пневмония

Симптомы пневмонииСимптомы пневмонии

Отличительные симптомы разных видов пневмонии

Симптоматика пневмонии варьируется в зависимости от её типа. Крупозная пневмония — одна из самых серьёзных форм. При этом заболевании поражается целое лёгкое, что увеличивает вероятность как односторонней, так и двусторонней пневмонии.

Признаки крупозной пневмонии:

  • Высокая температура.
  • Боль в грудной клетке с одной стороны, усиливающаяся при вдохе.
  • Красные пятна на шее со стороны поражённого лёгкого.
  • Одышка и усиливающийся сухой кашель.
  • Посинение губ.
  • Изменение цвета мокроты на жёлтый или коричневый с примесью крови, что наблюдается через несколько дней после начала заболевания.
  • Признаки интоксикации. В тяжёлых случаях пациент может впадать в бессознательное состояние или бредить.

Симптомы атипичной пневмонии, вызванной различными патогенами:

  • Микоплазмы. У пациента наблюдаются насморк, боль в горле и сухой кашель. Позже могут возникнуть боли в суставах и мышцах, увеличиваются лимфатические узлы, иногда случаются носовые кровотечения.
  • Хламидии. Температура тела поднимается до 38-39 градусов, увеличиваются лимфатические узлы. В дальнейшем могут развиться дерматит, бронхит и аллергические реакции, которые ранее не наблюдались.
  • Легионеллы. Заболевание проявляется резким повышением температуры до 40 градусов, ознобом, головной болью и сухим кашлем. Эта форма пневмонии имеет высокую смертность, достигающую 60%.

Признаки хронической пневмонии:

  • Периодический кашель с мокротой, в которой могут быть гнойные включения.
  • Учащённое сердцебиение и одышка.
  • Затруднённое дыхание.
  • Ринит.
  • Ослабление иммунной системы и слабовыраженные симптомы интоксикации.
  • Потеря веса и отсутствие аппетита.
  • Ночная потливость.
  • Периодические обострения с повышением температуры и сильным кашлем.

Симптомы очагового воспаления:

  • Заболевание начинается незаметно, симптомы развиваются волнообразно.
  • Лёгкое течение очаговой пневмонии характеризуется колебаниями температуры, которая редко превышает 38 градусов. Пациенты отмечают повышенную потливость и учащённое сердцебиение.
  • Среднетяжёлое течение сопровождается повышением температуры до 39 градусов. У человека наблюдаются сильная одышка и боли в груди, кожа может приобретать цианотичный оттенок.
  • В последнее время фиксируются случаи очаговой пневмонии с атипичным течением и минимальным набором симптомов.

имптомы крупозной формы

Отличия пневмонии от бронхита

Бронхит и пневмония — это разные заболевания дыхательной системы, которые иногда трудно различить из-за схожих симптомов.

Ключевые различия:

  • В 90% случаев бронхит вызывается вирусами, тогда как пневмонию чаще провоцируют бактерии.
  • При воспалении бронхов температура тела редко достигает высоких значений.
  • Мокрота при бронхите обычно светлая, в то время как у пациентов с пневмонией она может быть зеленоватой или желтоватой, иногда с примесью крови.
  • Хрипы при бронхите обычно сухие, а при пневмонии — влажные.

Определить, что именно у вас — пневмония или бронхит, самостоятельно невозможно. Поэтому важно обратиться за консультацией к врачу.

Отличия пневмонии от бронхита

Может ли быть пневмония без симптомов?

Пневмония может протекать без выраженных симптомов или с минимальными проявлениями у людей с ослабленным иммунитетом. Это также характерно для атипичного течения заболевания.

У пожилых людей симптомы пневмонии часто отсутствуют. Однако полное отсутствие признаков – редкость. Организм всё равно подает сигналы о развивающейся патологии. Это может проявляться потливостью, повышенной утомляемостью, снижением иммунной защиты, одышкой и учащенным сердцебиением. Важно внимательно следить за своим состоянием и не откладывать визит к врачу.

Симптомы, при которых нужно вызвать врача

Врач должен быть вызван на дом, если у вас наблюдаются следующие признаки:

  • Кашель, который сначала утих, а затем внезапно усилился.
  • Увеличение частоты дыхания и появление одышки.
  • Боли в груди при глубоком вдохе.
  • Мокрота желтоватого, зеленоватого или коричневого оттенка.
  • Температура тела не снижается с помощью медикаментов и остается на уровне 38 градусов и выше.
  • Кожа становится бледной.

Если вы заметили три или более из этих симптомов, это основание для обращения к врачу.

Симптомы, при которых нужно звонить в скорую

Вызов скорой помощи необходим в следующих ситуациях:

  • Нарушение сознания: пациент может бредить или испытывать проблемы с координацией.
  • Затрудненное и учащенное дыхание.
  • Систолическое давление ниже 90 мм рт. ст.
  • Диастолическое давление ниже 60 мм рт. ст.

Если у человека наблюдается хотя бы 1-2 из этих симптомов, следует незамедлительно обратиться за медицинской помощью. Пневмония считается серьезным заболеванием, особенно если пациент ослаблен, страдает от алкоголизма, диабета, заболеваний головного мозга или хронических легочных заболеваний. Риск также повышается у людей старше 60 лет.

Диагностика

Диагностика пневмонии включает несколько ключевых этапов:

  • Первичный визит к врачу, во время которого специалист собирает анамнез, проводит осмотр и выслушивает дыхание пациента.
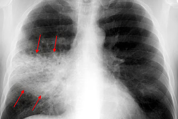
  • Выполнение рентгенографии легких. Затемнения на снимках помогают выявить воспаленные участки.
  • Сдача анализов крови, мочи и мокроты. Эти исследования позволяют оценить степень воспалительного процесса по количеству лейкоцитов и уровню СОЭ. Анализ мокроты предоставляет информацию о возбудителе инфекции.
  • Проведение КТ или МРТ легких, а также фибробронхоскопии. Эти процедуры назначаются, если у врача остаются сомнения в точности диагноза.

Пневмонию может диагностировать только врач, основываясь на ряде исследовательских методов. Симптомы заболевания могут напоминать бронхит и другие легочные патологии. Поэтому не стоит откладывать визит к специалисту.

Диагностика

Лечение

При легком течении заболевания госпитализация не требуется. В стационар помещают только пожилых пациентов с обострениями хронических заболеваний, помимо пневмонии.

Лечение бактериальной пневмонии включает антибиотики широкого спектра действия. При вирусной или грибковой инфекции назначают противовирусные и противогрибковые препараты. Также обязательно проводится симптоматическая терапия: пациентам прописывают средства для снижения температуры, муколитики и обезболивающие.

Больной должен соблюдать постельный режим, правильно питаться, употреблять блюда, богатые белками и витаминами, а также пить достаточное количество жидкости. Витамины и иммуностимуляторы способствуют ускорению выздоровления.

Физиотерапевтические процедуры, такие как электрофорез, массаж, ингаляции и магнитотерапия, показали свою эффективность. Лечение пневмонии в домашних условиях возможно, но только как дополнение к основному лечению.

Видео: врач-фтизиатр высшей категории Молодая О. Ю. рассказывает о симптомах пневмонии и о том, как распознать это заболевание.

Вопрос-ответ

Как определить пневмонию на ранних стадиях?

Ранние стадии пневмонии можно определить по таким симптомам, как кашель (сухой или с мокротой), одышка, повышенная температура, озноб, усталость и боли в груди при дыхании или кашле. Также важно обратить внимание на изменения в дыхании, такие как учащенное или затрудненное дыхание. При подозрении на пневмонию рекомендуется обратиться к врачу для проведения физикального обследования и, при необходимости, рентгенографии грудной клетки или других диагностических тестов.

Как проверить себя на пневмонию в домашних условиях?

Для предварительной проверки на пневмонию в домашних условиях обратите внимание на симптомы, такие как постоянный кашель, одышка, боль в груди, высокая температура и общая слабость. Попробуйте провести тест на дыхание: сделайте глубокий вдох и задержите дыхание на 10 секунд; если это вызывает дискомфорт или затруднения, это может быть признаком проблемы. Однако для точной диагностики и лечения обязательно обратитесь к врачу.

Что такое остаточные явления после пневмонии?

Остаточные явления после пневмонии встречаются практически всегда. Утомляемость, одышка, чувство нехватки воздуха и кашель — основные симптомы, которые беспокоят пациентов после перенесенной пневмонии. Дефицит кислорода нарушает работу центральной нервной системы.

Как понять, что у тебя точно не пневмония?

Даже врачу без специальных анализов определить наличие пневмонии сложно. Основным методом диагностики этого заболевания служит рентгенография органов грудной клетки. Именно рентген помогает точно определить локализацию очага инфекции и её наличие.

Советы

СОВЕТ №1

Обратите внимание на первые признаки простуды или гриппа. Если вы заметили такие симптомы, как кашель, высокая температура, озноб или усталость, не игнорируйте их. Это может быть предвестником пневмонии, особенно если симптомы не проходят в течение нескольких дней.

СОВЕТ №2

Следите за изменениями в дыхании. Если вы заметили, что ваше дыхание стало более затрудненным или учащенным, это может быть сигналом о начале воспалительного процесса в легких. Обратите внимание на наличие свиста или хрипов при дыхании.

СОВЕТ №3

Регулярно проверяйте уровень насыщения кислородом в крови с помощью пульсоксиметра. Нормальный уровень кислорода составляет 95-100%. Если уровень падает ниже 92%, это может указывать на проблемы с легкими, включая пневмонию.

СОВЕТ №4

Не забывайте о профилактике. Вакцинация против гриппа и пневмококковой инфекции может значительно снизить риск развития пневмонии. Также важно поддерживать иммунную систему, правильно питаясь и ведя активный образ жизни.

Ссылка на основную публикацию
Похожее