Россия, Республика Северная Осетия — Алания, Владикавказ, Московская улица
Телефон:
+7 (867) 257-73- Показать номер
Пн-сб: 08:30—20:00
whatsapp telegram vk email

Симптомы и лечение паратонзиллярного абсцесса у взрослых

Причины заболевания

Паратонзиллярный абсцесс чаще всего возникает из-за проникновения патогенных микроорганизмов в ткани нёбных миндалин. Это заболевание обычно является следствием хронического тонзиллита и представляет собой вторичное осложнение.

Основные причины появления абсцесса:

  • Бактериальная инфекция глотки — может развиваться как осложнение хронической ангины, острого тонзиллита или фарингита.
  • Стоматологические проблемы, такие как кариес, периостит альвеолярной ткани, хронические воспаления дёсен и десневых сосочков (гингивит).
  • Травмы ротовой полости, шеи и глотки, а также инфицированные раны и ожоги.
  • Проникновение инфекции из среднего уха.
  • Гнойные процессы в слюнных железах.

Все перечисленные факторы не приводят к образованию паратонзиллярного абсцесса без снижения общего и местного иммунитета у пациента. В группе повышенного риска находятся люди с сахарным диабетом, а также пациенты с анамнезом анемии, онкологических заболеваний и ВИЧ. Ожирение, курение, анатомические аномалии глотки и миндалин, а также переохлаждение также увеличивают вероятность развития паратонзиллярного абсцесса.

Причины заболевания

Врачи отмечают, что паратонзиллярный абсцесс часто развивается как осложнение тонзиллита. Основные симптомы включают сильную боль в горле, затрудненное глотание, а также отек и покраснение в области миндалин. Пациенты могут жаловаться на высокую температуру и общее недомогание. Важно, что при первых признаках заболевания необходимо обратиться к специалисту, так как запущенные случаи могут привести к серьезным осложнениям.

Лечение обычно начинается с антибиотикотерапии, однако в большинстве случаев требуется хирургическое вмешательство для дренирования абсцесса. Врачи подчеркивают, что ранняя диагностика и адекватное лечение играют ключевую роль в успешном восстановлении пациента. После процедуры важно соблюдать рекомендации врача и следить за состоянием здоровья, чтобы избежать рецидивов.

Паратонзиллярный абсцессПаратонзиллярный абсцесс

Патогенез

Возбудителями данного заболевания являются стрептококки, стафилококки, пневмококки, кишечная палочка (Escherichia coli), клебсиелла и грибок рода Кандида. При хроническом тонзиллите углубления миндалин, называемые криптами, заполняются гнойным содержимым. Наиболее глубокие крипты находятся в верхней части миндалин, где воспалительный процесс наиболее выражен.

После нескольких эпизодов острого воспаления ткань миндалин может заменяться рубцовой. Это нарушает отток гноя из глубоких крипт и мешает их полному очищению. Инфекция, сосредоточенная в миндалинах, проникает глубже, достигая паратонзиллярного пространства, расположенного вокруг миндалин.

Частое образование абсцессов в верхней части миндалин связано с рыхлой структурой её клетчатки. При снижении местного иммунитета инфекция может легко проникать в более глубокие слои тканей.

Патогенез

Симптом Тяжесть симптома Лечение
Сильная боль в горле, усиливающаяся при глотании От умеренной до сильной Антибиотики, хирургическое дренирование абсцесса
Отек и покраснение одной стороны горла От умеренной до сильной Холодные компрессы, обезболивающие препараты
Трудности с открыванием рта (тризм) От умеренной до сильной Мышечные релаксанты, хирургическое дренирование абсцесса
Высокая температура (выше 38°C) От умеренной до сильной Жаропонижающие препараты
Ощущение инородного тела в горле От легкой до умеренной Антибиотики
Слабость и недомогание От легкой до умеренной Постельный режим, обильное питье
Одышка От легкой до сильной Кислородная терапия, в тяжелых случаях — интубация
Изменение голоса (приглушенный голос) От легкой до умеренной Лечение основного заболевания
Увеличение лимфатических узлов на шее От легкой до умеренной Антибиотики
Дисфагия (затруднение глотания) От умеренной до сильной Жидкая диета, хирургическое дренирование абсцесса

Классификация

Формы абсцесса в зависимости от стадии его развития:

  • Отечная стадия – в области миндалин наблюдается отек тканей. Воспалительных процессов и выраженных клинических симптомов нет.
  • Инфильтрационная стадия – пораженная миндалина гиперемирована, возникают болезненные ощущения и повышается температура тела.
  • Абсцедирующая стадия – через 4-7 дней после появления инфильтрата образуется значительное флюктуирующее выпячивание.

Классификация по месту расположения:

  • Передний или передне-верхний абсцесс – встречается в 75% случаев, образуется над миндалиной.
  • Задний абсцесс – наблюдается в 10-15% случаев, располагается в задней дужке или между краем миндалины и дужкой.
  • Нижний абсцесс – встречается в 5% случаев, локализуется между нижним краем миндалины и латеральной стенкой глотки.

Симптомы:

  • Боковой или наружный абсцесс – диагностируется в 5% случаев, располагается между стенкой глотки и боковым краем миндалины, протекает с выраженной тяжестью.

Классификация

Паратонзиллярный абсцесс — это осложнение, возникающее после ангины, и многие люди делятся своим опытом его симптомов и лечения. Основные признаки включают сильную боль в горле, затрудненное глотание и повышение температуры. Часто пациенты отмечают, что боль может иррадиировать в ухо, что делает состояние особенно неприятным. Лечение обычно начинается с антибиотиков, однако в некоторых случаях требуется хирургическое вмешательство для дренирования абсцесса. Люди подчеркивают важность своевременного обращения к врачу, так как запущенные случаи могут привести к серьезным осложнениям. Многие отмечают, что после лечения состояние значительно улучшается, и они могут вернуться к нормальной жизни.

Паратонзиллярный абсцесс.Паратонзиллярный абсцесс.

Симптомы

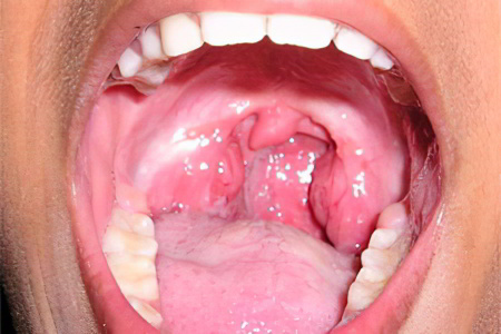
В любом случае, заболевание начинается с резкой боли при глотании. Паратонзиллярный абсцесс, как правило, возникает с одной стороны, поэтому боль ощущается односторонне. Двусторонний абсцесс встречается значительно реже — лишь в 10% случаев. Интенсивность боли быстро усиливается, и вскоре пациенту становится трудно глотать не только пищу, но и слюну. При этом наблюдается гиперсаливация, и слюна начинает стекать из уголка рта.

На вид абсцесс представляет собой округлое образование ярко-красного цвета. Его поверхность напряжена, и через нее просвечивает бело-желтое содержимое. При пальпации в одной из частей абсцесса можно обнаружить очаг флюктуации — участок ткани, размягченный из-за гнойного расплавления. Язычок зева смещается в сторону, противоположную поражению, а небная миндалина оттесняется.

К основным симптомам паратонзиллярного абсцесса относятся:

  • Иррадиация боли в ухо и нижнюю челюсть;
  • Симптомы интоксикации, вызванные продуктами жизнедеятельности патогенных микроорганизмов: головная боль, повышение температуры до 38,5°, лихорадка, слабость, бессонница;
  • Увеличение регионарных лимфоузлов;
  • Появление гнилостного запаха из ротовой полости;
  • С развитием заболевания возникает тризм — спазм жевательных мышц;
  • Изменение речи, она становится гнусавой;
  • Пациент может поперхнуться из-за попадания жидкой пищи в гортань и носоглотку;
  • Он принимает вынужденную позу, наклоняясь в сторону поражения или вперед из-за обильного выделения слюны.

Пациент испытывает психическое напряжение из-за бессонницы, невозможности нормально питаться и мучительной боли.

Через 4-7 дней может произойти самопроизвольное вскрытие паратонзиллярного абсцесса. Общее состояние пациента резко улучшается, температура тела снижается, а симптомы заболевания уменьшаются. В слюне появляется гной, а тризм становится менее выраженным.

При осложненном течении паратонзиллярного абсцесса он может прорываться через 2-2,5 недели. Если гнойные массы проникают вглубь тканей окологлоточного пространства, абсцесс может не вскрыться. В таком случае состояние пациента значительно ухудшается.

Симптомы

Осложнения паратонзиллярного абсцесса

При правильном лечении заболевание может закончиться полным выздоровлением. Однако, если терапия некачественная или отсутствует, гнойный процесс может распространиться в заглоточное пространство. Осложнения могут возникнуть из-за повреждения стенок глотки во время операции по вскрытию абсцесса или в результате самопроизвольного прорыва гнойника в глубоко расположенные ткани.

Возможные осложнения:

  • Флегмона шейной клетчатки и окологлоточной ткани;
  • Парафарингеальный абсцесс;
  • Сепсис;
  • Асфиксия, вызванная стенозом гортани (сдавлением глотки изнутри);
  • Гнойный медиастенит — воспаление средостения, гнойное поражение клетчатки сердца, аорты, полой и лёгочной вен;
  • Тромбофлебит пещеристого синуса головного мозга;
  • Абсцесс головного мозга;
  • Менингит;
  • Энцефалит;
  • Аррозивное кровотечение из-за гнойного расплавления артерий окологлоточного пространства.

Осложнения паратонзиллярного абсцесса

Осложнение ангины (паратонзиллярный абсцесс)Осложнение ангины (паратонзиллярный абсцесс)

Диагностика

Клинические проявления паратонзиллярного абсцесса очевидны, что позволяет отоларингологу легко установить диагноз. Для быстрой диагностики достаточно данных, полученных при фарингоскопии и анализе анамнеза пациента.

Программа углубленного диагностического обследования включает:

  • Анализ анамнеза – важно обратить внимание на травмы в области ротовой полости и глотки, а также на инфекционные процессы в этих зонах;
  • Визуальный осмотр – врач оценивает наклон головы, увеличенные лимфоузлы, неприятный запах изо рта и повышенную температуру;
  • Фарингоскопия – визуально выявляется округлое образование с гиперемированной поверхностью и зоной флюктуации;
  • Общий анализ крови – отмечается повышение скорости оседания эритроцитов и лейкоцитоз, а также бактериальный посев отделяемого из полости абсцесса для определения возбудителя;
  • Дифференциальная диагностика – проводится с помощью УЗИ и КТ шеи, рентгенографии шеи и головы для исключения абсцесса средостения, парафарингеального абсцесса, дифтерии, аневризмы, опухолей глотки и ротовой полости, аневризмы аорты.

Диагностика

Лечение

Из-за высокого риска осложнений лечение паратонзиллярного абсцесса проводится только в стационаре. Хирург выполняет экстренное вскрытие образования под местной анестезией (например, с использованием Дикана или Лидокаина). На выпуклой части абсцесса делают надрез скальпелем, затем полость гнойника расширяют глоточными щипцами и очищают от гноя.

Операционную рану тщательно промывают антисептическим раствором, после чего устанавливают дренаж для отведения экссудата.

Во время операции, особенно если пациент часто страдает от ангин, может быть принято решение об удалении миндалин. Если ангины случаются редко, врач рекомендует проводить операцию не ранее чем через 1,5-2 месяца после вскрытия абсцесса. В период восстановления пациенту назначают медикаментозное лечение.

Классы лекарственных средств:

  • Внутримышечное и внутривенное введение антибиотиков (например, Амоксициллин, Цефтриаксон, Амикацин, Пенициллин, Гентамицин, Цефураксим), выбор которых зависит от возбудителя паратонзиллярного абсцесса;
  • Инфузионное введение Гемодеза для детоксикации организма;
  • Местное лечение – полоскание горла антисептическими растворами (например, Мирамистином или Фурациллином);
  • Профилактика кандидозов при назначении антибактериальных препаратов (например, Интраконазол);
  • Антигистаминные средства;
  • НПВС для облегчения боли и уменьшения воспаления.

Поскольку пациенты испытывают сильную боль в горле, препараты чаще всего вводят в виде инъекций или ректальных свечей.

Если лечение абсцесса начато своевременно, полное выздоровление наступает через 2-3 недели. Однако при осложнениях или воспалительных процессах, затрагивающих мозг и средостение, прогноз выздоровления может быть неблагоприятным, вплоть до летального исхода.

Лечение

Профилактика паратонзиллярного абсцесса

Чтобы предотвратить гнойники в ротовой полости, важно своевременно лечить ангину, гингивит и воспаление аденоидов. Также необходимо проводить санацию кариозных зубных полостей. Укрепление иммунной системы с помощью физической активности, закаливания и достаточного потребления свежих фруктов и овощей поможет эффективно бороться с заболеваниями.

Вопрос-ответ

Как понять, что у тебя паратонзиллярный абсцесс?

Типичные признаки паратонзиллярного абсцесса — асимметрия зева, смещение язычка в здоровую сторону, покраснение глотки и мягкого нёба, массивное выпячивание тканей, окружающих миндалину.

Каковы симптомы паратонзиллярного абсцесса?

Типичным симптомом паратонзиллярного абсцесса является выраженный тризм (спастическое состояние жевательных мышц). Больной с трудом приоткрывает рот. Гнойное воспаление приводит к рефлекторному повышению слюнообразования. Из-за того, что нарушено глотание, слюна не попадает в глотку, а вытекает изо рта.

Как лечить паратонзиллярный абсцесс?

Лечение паратонзиллярного абсцесса. Возможно применение иммуностимуляторов по ситуации. Важную роль играет хирургическая коррекция. Операция при паратонзиллярном абсцессе проводится для дренирования, опорожнения гнойной полости, антисептической обработки тканей.

Каковы симптомы абсцесса в горле?

Симптомы абсцесса в горле могут включать сильную боль в горле, затрудненное глотание, отек и покраснение в области горла, повышение температуры, а также возможное образование гнойного налета. Пациенты могут также испытывать неприятный запах изо рта и затрудненное дыхание в тяжелых случаях.

Советы

СОВЕТ №1

Обратите внимание на симптомы: если у вас возникли сильные боли в горле, затрудненное глотание, повышенная температура и отек шеи, не откладывайте визит к врачу. Эти признаки могут указывать на паратонзиллярный абсцесс, который требует медицинского вмешательства.

СОВЕТ №2

Не занимайтесь самолечением: несмотря на желание облегчить симптомы, избегайте использования антибиотиков без назначения врача. Неправильное лечение может усугубить ситуацию и привести к осложнениям.

СОВЕТ №3

Следите за своим состоянием: если после лечения симптомы не исчезают или ухудшаются, обязательно сообщите об этом врачу. Возможно, потребуется дополнительное обследование или корректировка лечения.

СОВЕТ №4

Поддерживайте иммунную систему: для предотвращения рецидивов паратонзиллярного абсцесса важно вести здоровый образ жизни, включая сбалансированное питание, регулярные физические нагрузки и достаточный сон.

Ссылка на основную публикацию
Похожее