Россия, Республика Северная Осетия — Алания, Владикавказ, Московская улица
Телефон:
+7 (867) 257-73- Показать номер
Пн-сб: 08:30—20:00
whatsapp telegram vk email

Флюс на десне — что делать в домашних условиях?

Симптомы флюса

Флюс проявляется в первую очередь зубной болью, которая усиливается при жевании или нажатии на поражённый зуб. Также можно заметить отёк слизистой оболочки и окружающих тканей, а на десне может образоваться шишка с гноем.

Если воспаление затрагивает зубы верхней челюсти, могут опухнуть губы и щеки, а также появиться отёчность век и области под глазами. При проблемах с зубами нижней челюсти возможны припухлости на щеках и подбородке, а лимфоузлы под челюстью могут увеличиться и начать болеть.

Организм отвечает на инфекцию повышением температуры (до 38 °C) и общим недомоганием. У взрослых симптомы выражены ярче, чем у детей и пожилых людей.

При остром течении флюса наблюдается значительный отёк десны, который может распространиться на верхнюю губу и носогубную складку. Со временем гной может распространиться между мышцами, затрагивая мягкие ткани лица и шеи. Эта запущенная форма может привести к серьёзным последствиям.

Хронический флюс развивается медленно и характеризуется утолщением челюстной кости под поражённым зубом. Несмотря на медленный ход, воспалительный процесс продолжает прогрессировать.

Симптомы флюса

Врачи отмечают, что флюс на десне, или периостит, требует внимательного подхода. При появлении отека и боли в области десны необходимо обратиться к стоматологу. Специалисты подчеркивают, что самолечение может привести к осложнениям, таким как распространение инфекции. Врач проведет осмотр, возможно, назначит рентген, чтобы определить причину воспаления. В большинстве случаев требуется дренирование гноя и назначение антибиотиков для борьбы с инфекцией. Также важно соблюдать гигиену полости рта и избегать раздражающих веществ. Врачи советуют не откладывать визит к специалисту, так как своевременное лечение поможет избежать серьезных последствий.

Флюс. Лечение флюсаФлюс. Лечение флюса

Причины флюса на десне

Флюс может возникнуть по нескольким причинам: кариес, механические повреждения слизистой рта или кожи, воспаление десневого кармана (пространства между зубом и десной), а также занесение микробов в ткани при использовании шприца для обезболивания, ангине или фурункуле.

В любом случае появление флюса связано с инфекцией. Задержка начала лечения создает идеальные условия для размножения бактерий в ротовой полости, которые разрушают пульпу и проникают в надкостницу. Также бывает, что человек прекращает лечение после первого визита к стоматологу. Если временная пломба с мышьяком не будет удалена вовремя, она может повредить пульпу и способствовать развитию флюса.

При первых признаках периостита важно обратиться к врачу. В противном случае патогенные микроорганизмы начинают разрушать пульпу зуба и проникают в надкостницу. Неполное лечение зуба также может привести к флюсу на десне. Например, несвоевременное удаление временной пломбы с мышьяком приводит к разрушению пульпы и возникновению периостита.

Флюс, вызванный кариесом, возникает из-за проникновения патогенных бактерий в пульпу зуба. На начальной стадии пациент испытывает сильную боль. После отмирания пульпы боль может уменьшиться, но это не означает выздоровление, а указывает на начало скрытого воспалительного процесса. Скрытая форма периостита трудно диагностируется, что затрудняет своевременное лечение. На корне инфицированного зуба скапливаются гнойные массы.

Скоро очаг инфекции активизируется, вызывая воспаление надкостницы и костей черепа. Осложнённый периостит в тяжёлой форме может сопровождаться образованием гноя под надкостницей.

Причины флюса

Симптом Возможная причина Действия
Отек десны Гингивит, пародонтит, травма, аллергическая реакция, прорезывание зуба Прополоскать рот теплой соленой водой, приложить холодный компресс, использовать гель с противовоспалительным действием (например, гель с холисалом), обратиться к стоматологу
Боль в десне Инфекция, абсцесс, периодонтит, травма Принять обезболивающее (например, ибупрофен), прополоскать рот антисептическим раствором (например, хлоргексидином), обратиться к стоматологу
Кровоточивость десен Гингивит, пародонтит, недостаток витаминов, агрессивная чистка зубов Использовать мягкую зубную щетку, бережно чистить зубы, прополоскать рот раствором с хлоргексидином, обратиться к стоматологу
Нагноение Абсцесс, периодонтит Не пытаться выдавливать гной самостоятельно! Немедленно обратиться к стоматологу
Изменение цвета десны (покраснение, синюшность) Воспаление, травма, системные заболевания Обратиться к стоматологу для диагностики

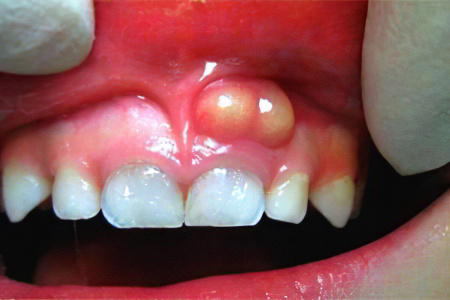
Гнойный флюс на десне

От одонтогенного периостита, также известного как гнойный флюс на десне, страдает более 50% пациентов, обращающихся к стоматологу. В начале своего появления флюс представляет собой небольшой гнойник, который через 36-48 часов значительно увеличивается. Внешне это образование напоминает шишку на десне.

Боль, возникающая при развитии гнойного воспаления, может отдавать в глаза, уши, а также в височную, лобную и теменную области головы. У пациента могут наблюдаться озноб, повышение температуры и головокружение.

  • Одонтогенный периостит — острое воспаление в тканях челюсти или надкостнице альвеолярного отростка. Чаще всего он возникает на нижней десне, где расположены зубы мудрости и первые коренные зубы, реже — в области клыков и первых резцов.
  • При проникновении инфекции флюс может локализоваться на верхней десне, в местах, где находятся зубы мудрости, первые и малые коренные зубы.

В ходе хирургического лечения врач производит разрез гнойника и устанавливает дренаж для удаления гноя.

Среди микроорганизмов, обнаруживаемых в микрофлоре гнойного содержимого флюса, можно выделить:

  • Стафилококки,
  • Стрептококки,
  • Грамположительные бактерии,
  • Грамотрицательные бактерии.

Лечение гнойного периостита должно проводиться под наблюдением стоматолога.

Гнойный флюс на десне

Флюс на десне — это довольно распространенная проблема, о которой говорят многие. Люди описывают его как болезненное и неприятное состояние, сопровождающееся отеком и покраснением десны. Часто причиной флюса становится инфекция, вызванная кариесом или воспалением корня зуба. В таких случаях важно не откладывать визит к стоматологу, так как самолечение может привести к осложнениям. Некоторые рекомендуют полоскания солевым раствором или отварами трав, но это лишь временное облегчение. Важно помнить, что только специалист сможет назначить правильное лечение, которое может включать антибиотики или даже хирургическое вмешательство. Не стоит игнорировать симптомы, так как своевременная помощь поможет избежать серьезных последствий для здоровья.

Флюс: симптомы и лечениеФлюс: симптомы и лечение

Последствия флюса на десне

Течение периостита может привести к серьезным последствиям, включая флегмону — опасное осложнение. В отличие от абсцесса, гной при флегмоне не ограничен капсулой и распространяется по жировой клетчатке в области челюстно-лицевого отдела.

Формы и локализация флегмоны:

  • Глубокая форма — находится в межмышечной клетчатке.
  • Поверхностная форма — располагается в подкожной клетчатке.

Если не проводить лечение, заболевание будет прогрессировать, затрагивая здоровые ткани и вызывая нарастающую боль.

Как быстро вылечить флюс в домашних условиях. Способ козака с БарселоныКак быстро вылечить флюс в домашних условиях. Способ козака с Барселоны

Симптомы флегмоны при периостите:

  • Ограничение подвижности челюсти.
  • Затруднение речи и дыхания.
  • Боль при приеме пищи.
  • Нарушение симметрии лица.
  • Общее ухудшение состояния.
  • Ярко выраженная гипертермия.

Хирургическое вмешательство является единственным эффективным способом решения проблемы флегмоны при периостите. Операция проводится в условиях стоматологического стационара. В случае развития сепсиса, вызванного флюсом, заболевание может закончиться трагически.

Последствия флюса

Диагностика

Первоначальный диагноз стоматолог устанавливает на основе визуального осмотра и анализа симптомов. Затем он уточняет его с помощью рентгенографического исследования. Для более детального понимания степени и формы гнойного процесса могут проводиться лабораторные анализы.

Методы диагностики:

  • Один из простых способов диагностики флюса — легкое постукивание по зубу. Этот метод эффективен, если пациент не принимал анальгетики, которые снижают чувствительность к боли.
  • Для выявления внешних признаков стоматолог проводит тщательный осмотр ротовой полости.
  • Чувствительность зубного нерва определяется воздействием тепла и холода.
  • Для более точного диагноза врач может стимулировать зубной нерв легким электрическим разрядом.
  • Рентгеноскопия тканей зуба и десны — наиболее надежный метод диагностики периостита, позволяющий определить размер гнойника и его точное расположение.

Диагностика

Лечение флюса

Лечение флюса (периостита)

Лечение флюса зависит от состояния зуба и общего состояния пациента. Устранение гнойного процесса осуществляется путем вскрытия абсцесса. Гной выводится наружу, но для обеспечения полного оттока в разрезе обычно оставляют дренаж в виде резиновой трубки. Процедура проводится под анестезией. Разрез десны и удаление зуба (или его корня) могут выполняться одновременно.

При необходимости стоматолог может назначить противовоспалительные и антибактериальные препараты, а также курс физиотерапевтических процедур. Эти меры помогут уменьшить воспаление, жар и болевые ощущения.

Применение антибиотиков возможно только под наблюдением врача и в строго определенных дозах.

Важно помнить о некоторых предостережениях, связанных с лечением флюса:

  1. Не прикладывайте согревающий компресс к пораженному участку. Тепло способствует более быстрому размножению бактерий.
  2. Избегайте приема антибиотиков до консультации со стоматологом.
  3. За 2 часа до визита к специалисту не принимайте обезболивающие средства. Возможно, вам придется потерпеть боль в течение этого времени, но это позволит врачу легче и точнее поставить диагноз.
  4. После вскрытия десны откажитесь от аспирина, так как он может увеличить риск кровотечения.
  5. Если через 10 часов после удаления гнойного очага боль не утихает, немедленно обратитесь к врачу.

Лечение флюса

Что делать, если на десне лопнул флюс?

Некоторые пациенты стоматологических клиник, испытывающие воспалительные процессы в полости рта, замечают, что флюс на десне может неожиданно вскрываться. После разрыва флюса и выхода гноя боль и другие проявления периостита уменьшаются, что приносит значительное облегчение. Часто пациенты ошибочно полагают, что проблема решилась сама собой, и не спешат записываться на прием к стоматологу.

Такой подход крайне неверен и может привести к серьезным осложнениям. Патогенные микроорганизмы, содержащиеся в гнойной жидкости, остаются в ротовой полости и могут спровоцировать повторное развитие периостита. Поэтому, если произошло самопроизвольное вскрытие гнойника на десне, важно обратиться к стоматологу для лечения периостита — опасного заболевания с серьезными последствиями.

Что делать

Профилактика флюса

Профилактика флюса (периостита) включает меры по предотвращению кариеса, так как флюс возникает из-за запущенной стадии этого заболевания. Бактерии в ротовой полости сначала повреждают зуб, а затем проникают в ткани надкостницы. Чтобы избежать этой проблемы, чистите зубы как минимум дважды в день. Щётка должна быть мягкой, а зубная паста — с фтором. После каждого приёма пищи рекомендуется полоскать рот.

Не забывайте о своевременном удалении зубного камня, на котором скапливаются вредные бактерии, способствующие развитию кариеса.

Ключевым моментом профилактики является регулярное посещение стоматолога. Рекомендуется делать это не реже двух раз в год. Заболевания зубов и дёсен легче лечить на ранних стадиях.

Для предотвращения флюса полезно увеличивать потребление овощей и фруктов, особенно яблок и моркови. Можно пить свежевыжатые соки или употреблять эти продукты в цельном виде. Пережёвывание твёрдых овощей и фруктов укрепляет десны и зубы.

Профилактика флюса

Вопрос-ответ

Как избавиться от флюса на десне в домашних условиях?

Вылечить его в домашних условиях невозможно, так как это серьезный воспалительный процесс, избавить от которого может только врач-стоматолог. Другое название флюса — одонтогенный (исходящий из зуба) периостит (воспаление надкостницы).

Что категорически нельзя делать при флюсе?

При флюсе категорически нельзя заниматься самолечением, применять горячие компрессы или прогревания, так как это может усугубить воспаление и привести к осложнениям. Также не рекомендуется игнорировать симптомы и откладывать визит к стоматологу, так как своевременное лечение важно для предотвращения распространения инфекции.

Чем полоскать флюс, чтобы он быстрее прошёл?

Полоскание. Для улучшения оттока гноя назначаются полоскания содо-солевым раствором. Для снятия воспаления слизистой и регенерации поврежденных мягких тканей рекомендуется полоскать рот антисептиком: Хлоргексидин, Ротокан, Септомирин, Мирамистин.

Что вытягивает гной из десны в домашних условиях?

Самый простой рецепт — солевой или содовый раствор, который легко приготовить в домашних условиях (чайная ложка соли или соды на стакан воды). Рекомендуются также растворы на основе ромашки, коры дуба, шалфея, мяты. Фитосырье запаривается и настаивается, после чего используется для полоскания.

Советы

СОВЕТ №1

Обратитесь к стоматологу как можно скорее. Флюс на десне может быть признаком инфекции, и только специалист сможет правильно оценить ситуацию и назначить необходимое лечение.

СОВЕТ №2

Не занимайтесь самолечением. Использование народных средств или обезболивающих препаратов может временно облегчить симптомы, но не устранит причину проблемы. Лучше довериться профессионалам.

СОВЕТ №3

Поддерживайте гигиену полости рта. Регулярная чистка зубов и использование антисептических ополаскивателей помогут предотвратить развитие инфекций и уменьшить риск появления флюса в будущем.

СОВЕТ №4

Следите за своим состоянием. Если вы заметили увеличение отека, появление гноя или сильную боль, немедленно обратитесь к врачу. Эти симптомы могут указывать на ухудшение состояния и необходимость срочного вмешательства.

Ссылка на основную публикацию
Похожее