Россия, Республика Северная Осетия — Алания, Владикавказ, Московская улица
Телефон:
+7 (867) 257-73- Показать номер
Пн-сб: 08:30—20:00
whatsapp telegram vk email

Восстановление эмали зубов: методы и рекомендации

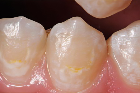
Симптомы разрушения эмали

Несмотря на прочность, зубная эмаль не защищена от разрушения под воздействием различных факторов. Уменьшение её толщины и наличие дефектов ухудшают состояние зубов и увеличивают риск кариеса, поскольку ткани, не обладающие такой же твердостью, становятся уязвимыми. Это опасно, так как эмаль не восстанавливается самостоятельно, а её минеральный состав можно восстановить только искусственными методами.

Толщина эмали варьируется на разных участках зуба. Например, на жевательной поверхности она может достигать двух миллиметров, постепенно уменьшаясь к корню. Жевательная поверхность требует прочного покрытия из-за значительной функциональной нагрузки. Прикорневые участки зуба наиболее уязвимы, и именно здесь чаще всего размножаются микроорганизмы, вызывающие кариес. После разрушения эмали патогенные микроорганизмы проникают вглубь зуба, достигая пульпы, особенно учитывая, что дентин, второй слой тканей после эмали, имеет пористую и мягкую структуру. В результате образуются кариозные полости, которые могут достигать таких размеров, что для восстановления зуба потребуется не просто пломба, а полноценное протезирование.

Раннее выявление повреждений эмали и предотвращение стоматологических заболеваний, возникающих при разрушении защитного слоя, возможно по следующим признакам:

  • Чувствительность зубов, проявляющаяся резкой болью на холодные или горячие продукты и напитки, кислые соки и механическую нагрузку при жевании;
  • Увеличение болевых ощущений даже при минимальном раздражении – боль может возникать даже при дыхании воздухом нормальной температуры;
  • Потускнение эмали – она становится сероватой и теряет блеск;
  • Появление пятен на эмали и её пожелтение;
  • Кариозные поражения зуба: на ранних стадиях поверхность становится меловидной и шероховатой; на более поздних стадиях образуются кариозные полости, и зуб темнеет.

Симптомы разрушения эмали

Врачи-стоматологи отмечают, что восстановление эмали зубов является важной задачей для поддержания здоровья полости рта. Эмаль, будучи самой твердой тканью в организме, подвержена различным повреждениям из-за кислот, содержащихся в пище и напитках, а также из-за механических воздействий. Специалисты подчеркивают, что профилактика играет ключевую роль: регулярная гигиена, использование фторсодержащих паст и ограничение потребления кислых продуктов могут значительно снизить риск разрушения эмали.

В случаях, когда эмаль уже повреждена, врачи рекомендуют различные методы восстановления, включая реминерализацию с помощью специальных гелей и паст, а также применение композитных материалов для реставрации. Современные технологии, такие как лазерная терапия, также находят применение в восстановлении эмали. Важно помнить, что своевременное обращение к стоматологу и соблюдение рекомендаций специалистов помогут сохранить здоровье зубов на долгие годы.

Как восстановить эмаль зубовКак восстановить эмаль зубов

Какие факторы провоцируют повреждение эмали?

К повреждению зубной эмали могут привести различные факторы:

  • Недостаток витаминов и минералов в организме, что проявляется через симптомы авитаминоза.
  • Избыточное количество фтора может вызвать флюороз, негативно влияя на состояние эмали и приводя к образованию пятен на её поверхности.
  • Процедуры отбеливания зубов, как профессиональные, так и домашние, с использованием соды, фруктовых кислот и перекиси водорода могут истончать эмаль и повышать чувствительность зубов к внешним раздражителям, вплоть до болезненных ощущений при вдыхании воздуха.
  • Генетическая предрасположенность – у людей с тонкой эмалью риск повреждений значительно выше.
  • Неправильная гигиена полости рта – использование жесткой зубной щётки для зубов с истончённой эмалью, отсутствие привычки полоскать рот после еды и недостаточная частота чистки зубов.
  • Употребление продуктов, богатых кислотами, таких как цитрусовые и кислые фрукты. Регулярное потребление кислоты постепенно разрушает эмаль, вымывая из неё минералы.
  • Чрезмерные механические нагрузки на зубы – употребление твёрдой пищи, открывание бутылок и раскалывание орехов зубами, а также щелкание семечек; эмаль страдает у людей, которые грызут ногти.
  • Курение и избыточное потребление шоколада, сладостей, алкоголя, сладкой газировки и кофе негативно влияют на состояние зубной эмали.
  • Анатомические особенности зубов, такие как глубокие и разветвлённые фиссуры.
  • Системные заболевания, влияющие на общее состояние организма.
  • Химический состав слюны. Слюна выполняет роль естественного антибактериального и очищающего средства, защищая зубы от повреждений, вызванных патогенными бактериями, и поддерживая стабильный минеральный состав зубов.
  • Проблемы с пищеварительной системой.
Метод восстановления эмали Описание метода Эффективность
Реминерализация Нанесение растворов с минералами (фтор, кальций, фосфор) для укрепления эмали. Может проводиться в домашних условиях (пасты, ополаскиватели) или в кабинете стоматолога. Умеренная, эффективна на начальных стадиях повреждения эмали.
Профессиональная чистка и полировка Удаление зубного налета и камня, полировка поверхности зубов для улучшения гладкости эмали. Предотвращает дальнейшее повреждение, улучшает внешний вид.
Использование фторсодержащих средств Зубные пасты, гели, ополаскиватели с фтором укрепляют эмаль и повышают ее устойчивость к кислотам. Превентивная мера, эффективна для профилактики кариеса.
Пломбирование Заполнение поврежденных участков эмали пломбировочным материалом. Высокая, восстанавливает функциональность и эстетику зуба при значительных повреждениях.
Виниры Тонкие пластинки из керамики или композитного материала, которые крепятся на переднюю поверхность зубов. Высокая, восстанавливает эстетику, но не восстанавливает саму эмаль.
Коронки Штучные зубные протезы, которые покрывают весь зуб. Высокая, защищают сильно поврежденный зуб, но не восстанавливают эмаль.

Фторирование зубов

Фтор — минерал, который встречается в природе в виде фосфатных соединений. Он играет важную роль в здоровье зубов и формировании эмали. У людей, чье питание в период формирования зубных тканей было бедным на фтор, может наблюдаться истончение эмали. Поэтому многие производители зубных паст добавляют фтор в их состав, а стоматологические клиники предлагают процедуры фторирования зубов.

Использование фтора для восстановления минерального баланса зубной эмали снижает её повреждения, предотвращает истончение и образование трещин. Это эффективная мера профилактики кариеса и помогает уменьшить гиперчувствительность зубов к холодной и горячей пище, а также к сладким и кислым продуктам.

В некоторых регионах водопроводная вода специально фторируется. У жителей таких мест кариозные поражения и другие стоматологические проблемы встречаются на 60% реже по сравнению с теми, кто живет в областях, где используется хлорирование воды.

Тем не менее, важно помнить, что фторирование зубов должно проводиться с осторожностью. Избыток фтора может быть более опасен, чем его недостаток. Люди, проживающие в районах с высоким содержанием фтора в воде, могут столкнуться с потемнением эмали и появлением желтых и коричневых пятен. Поэтому фторированную воду рекомендуется использовать для чистки зубов и в бытовых целях, но не для питья. Стоматологическое фторирование с применением фтор-лака следует проводить не чаще одного раза в полгода.

Фторирование зубов

Восстановление эмали зубов — тема, которая вызывает много обсуждений среди пациентов и стоматологов. Многие люди отмечают, что после процедур по восстановлению эмали чувствуют значительное улучшение. Они говорят о снижении чувствительности зубов, что позволяет им наслаждаться горячими и холодными напитками без дискомфорта. Некоторые пациенты делятся положительным опытом использования реминерализующих паст и гелей, которые помогают укрепить эмаль и предотвратить дальнейшее разрушение. Однако не все так однозначно: некоторые выражают скептицизм, считая, что такие методы не могут полностью восстановить эмаль, и лучше всего предотвратить ее повреждение с помощью правильной гигиены. Важно отметить, что консультация с профессионалом помогает выбрать наиболее подходящий способ восстановления, учитывая индивидуальные особенности каждого пациента.

Восстановление эмали Зубов. Чувствительность Зубов. Реминерализующие гели.Восстановление эмали Зубов. Чувствительность Зубов. Реминерализующие гели.

Реминерализация зубов

Кроме фторирования, процедура реминерализации зубов также эффективна. Она проводится с использованием специального лака, который, помимо фтора, содержит множество полезных веществ. Эти компоненты помогают восстановить минеральный состав эмали и защищают её от разрушения. Реминерализация выполняется с такой же периодичностью, как и фторирование — каждые полгода. Одним из её основных преимуществ является минимизация риска избытка фтора, что делает реминерализацию более безопасной.

Восстановление эмали с помощью лака для реминерализации не происходит за один сеанс. Для достижения желаемого результата необходимо пройти курс процедур, который обеспечивает накопительный эффект.

Что делать, если эмаль сильно повреждена?

При незначительных повреждениях эмали обычно достаточно ранее описанных методов восстановления. Однако, если дефекты выражены сильно, простое нанесение лака, которое можно выполнить в домашних условиях, может быть недостаточным. В таких случаях рекомендуется использовать один из следующих способов.

Что делать

Восстановление эмали зубовВосстановление эмали зубов

Имплантация

Имплантация — современная стоматологическая процедура, которая включает нанесение специального состава на зубную эмаль. Этот состав на 90% совпадает с природным покрытием зуба. Процесс приживления искусственного защитного слоя происходит на клеточном уровне. Благодаря этому зубы становятся более ровными и блестящими, избавляясь от мелких дефектов, таких как царапины и сколы, при этом сохраняя естественный вид.

Среди недостатков процедуры можно выделить высокую стоимость и ограниченную доступность — не каждая стоматологическая клиника может провести её качественно.

Композитная реставрация

Явные повреждения эмали, такие как царапины и сколы, можно восстановить с помощью композитных материалов, используемых при пломбировании зубов. Композит наносится слоями на поражённую область, а затем затвердевает под воздействием галогенной лампы. Для сохранения естественной формы зуба требуется его обточка.

Преимущества этого метода включают доступную стоимость, эстетичный внешний вид, возможность исправления серьёзных повреждений эмали и долговечность. Срок службы композитного покрытия составляет примерно пять лет.

Однако у композитной реставрации есть и недостаток: она может негативно сказаться на зубной эмали. Композит заменяет естественное защитное покрытие зуба, что приводит к повреждению самой эмали.

Керамические виниры

Керамические виниры — это тонкие пластины, которые накладываются на переднюю часть зуба. Они скрывают эстетические недостатки эмали и исправляют проблемы, такие как большие промежутки между зубами или их искривление.

С точки зрения внешнего вида и долговечности виниры являются отличным решением. Они практически не отличаются от натуральных зубов, делают улыбку более привлекательной и могут служить до десяти лет без замены. Однако у этого метода есть и недостатки. Во-первых, установка виниров стоит довольно дорого. Во-вторых, они наносят необратимый ущерб эмали. Установив виниры, вы будете вынуждены использовать их на протяжении всей жизни или прибегнуть к более дорогим вариантам восстановления. После снятия виниров зубы становятся уязвимыми к различным внешним воздействиям, как химическим, так и механическим.

Как сохранить эмаль зубов?

  • Не пренебрегайте профилактическими визитами к стоматологу дважды в год. Это поможет избежать серьезных проблем и выявить их на ранней стадии. Кроме того, ранняя реминерализация эмали стоит значительно дешевле, чем лечение кариеса и восстановление зубов.
  • Соблюдайте правила гигиены полости рта, даже в отпуске или командировке. Изучите правильные техники чистки зубов и выберите зубную щетку с подходящей жесткостью. Избегайте чрезмерного использования отбеливающих и фторсодержащих паст.
  • Измените рацион и привычки, чтобы снизить риск повреждения эмали. Ограничьте потребление сладостей, кислых фруктов и соков, алкоголя и кофе.
  • Избегайте привычек, таких как грызение ногтей, щелкание семечек и открытие бутылок зубами.
  • Включайте в рацион продукты, богатые витаминами и микроэлементами. В осенне-зимний период принимайте поливитаминные комплексы.

Сколько стоят процедуры по восстановлению эмали зубов?

Процедуры реминерализации и фторирования с использованием специализированных составов доступны и начинаются от 50 рублей за зуб. Их можно проводить как на всех зубах, так и только на участках с повышенной чувствительностью.

Композитная реставрация и установка виниров стоят дороже: реставрация обойдется в 3-4 тысячи рублей, а цены на виниры начинаются от 10 тысяч рублей.

Восстановление эмали зубов в домашних условиях

Восстановление зубной эмали возможно без сложных процедур. Достаточно следовать основным правилам гигиены полости рта. Прежде всего, это регулярная чистка зубов. Для реминерализации защитного слоя эмали важно использовать зубные пасты или порошки с фторидами. Эти средства подходят как взрослым, так и детям. Всемирная организация здравоохранения с 1984 года рекомендует применять пасты с содержанием не менее 2 мг фторидов — источников ионов фтора.

В производстве средств для ухода за зубами используются различные соли фтора:

  • Фторид олова;
  • Фторид натрия;
  • Монофторфосфат;
  • Аминофториды (органические соединения фтора).

Эти вещества необходимы для повышения устойчивости эмали к метаболитам кариозных бактерий, подавления размножения микробов зубного налёта и поддержания процесса реминерализации. Активный фтор (ионы, находящиеся в свободном состоянии в растворе) является важным компонентом для профилактики кариеса.

Для восстановления минерального состава эмали в домашних условиях применяются фторированные зубные пасты, ополаскиватели, каппы с фторсодержащими гелями, а также самомассаж дёсен для улучшения кровообращения и питания тканей зуба:

  • Ополаскиватели для ротовой полости содержат компоненты, которые предотвращают образование налёта на зубах после еды и поддерживают здоровье дёсен, способствуя реминерализации эмали. Рекомендуется удерживать раствор во рту в течение 1-2 минут, чтобы активные вещества успели подействовать на поверхность зубов.
  • Для обогащения зубной эмали фторидами также используются каппы с фторсодержащим гелем. Существует два метода их применения: экспресс-фторирование, которое обычно предлагают стоматологические клиники, и каповый метод для домашнего использования. Экспресс-метод подразумевает использование одноразовой каппы с гелем на зубах в течение 5-10 минут. Самостоятельное фторирование осуществляется с помощью индивидуально изготовленной каппы, учитывающей анатомические особенности челюсти и рост зубов пациента. Фторсодержащий гель можно оставлять в каппе на несколько часов или даже на всю ночь.

Обычные зубные пасты содержат фторид натрия (до 0,76%) или монофторфосфат (до 1,14%). Детские пасты имеют значительно меньшую концентрацию фторидов (до 0,02%), что делает их безопасными для использования на нежных деснах и растущей эмали. В некоторых пастах также присутствуют кремниевые и кальциевые соли, создающие абразивный эффект. В сочетании с фторидами они образуют систему восстановления и отбеливания эмали с профилактикой кариеса, известную как Флуористат.

Среди других полезных добавок можно выделить триклозан. Этот компонент в составе зубной пасты работает в паре с кополимером, который продлевает его действие до двенадцати часов после последней чистки зубов. Триклозан предотвращает образование кристаллов зубного камня и подавляет активность патогенных бактерий, как грамположительных, так и грамотрицательных. Это помогает избежать формирования мягкого налёта и разрушения зубной эмали под воздействием метаболитов патогенной микрофлоры.

Восстановление эмали

Вопрос-ответ

Можно ли восстановить эмаль на зубах?

Восстановление зубной эмали. Организм не может создать новую эмаль, поэтому ваша цель заключается в укреплении и восстановлении той эмали зубов, которая у вас имеется. Это можно сделать с помощью процесса под названием «реминерализация».

Сколько стоит восстановление эмали зубов?

Средняя цена на услугу «восстановление эмали зубов» — 9185 руб. (от 18000 руб.).

Сколько стоит восстановление зубной эмали?

Стоимость восстановления эмали обычно ниже и составляет от 50 до 300 долларов США. Лечение корневых каналов: в случаях, когда скол нанес значительный ущерб пульпе зуба, перед проведением восстановительной стоматологической процедуры может потребоваться лечение корневых каналов.

Можно ли покрыть эмалью зубы?

В случае, если на зубе появился скол или трещина, врач проводит реставрацию с помощью пломбы, покрывает зубы эмалью. Современные материалы дают возможность полностью восстановить эстетику зуба при повреждении, сделать реставрацию полностью незаметной.

Советы

СОВЕТ №1

Регулярно используйте фторсодержащие зубные пасты и ополаскиватели. Фтор помогает укрепить эмаль и делает зубы более устойчивыми к кариесу. Выбирайте продукты с высоким содержанием фтора, особенно если у вас есть предрасположенность к проблемам с зубами.

СОВЕТ №2

Соблюдайте сбалансированную диету, богатую кальцием и витаминами. Употребление молочных продуктов, зеленых листовых овощей и орехов способствует укреплению зубной эмали. Избегайте чрезмерного потребления сахара и кислых продуктов, которые могут разрушать эмаль.

СОВЕТ №3

Регулярно посещайте стоматолога для профессиональной чистки и осмотра. Стоматолог может выявить ранние признаки повреждения эмали и предложить соответствующее лечение, включая фторирование или реминерализацию, что поможет восстановить здоровье ваших зубов.

СОВЕТ №4

Избегайте вредных привычек, таких как курение и чрезмерное употребление алкоголя. Эти факторы могут негативно сказаться на состоянии зубной эмали и общем здоровье полости рта. Здоровый образ жизни поможет сохранить эмаль в хорошем состоянии.

Ссылка на основную публикацию
Похожее