Россия, Республика Северная Осетия — Алания, Владикавказ, Московская улица
Телефон:
+7 (867) 257-73- Показать номер
Пн-сб: 08:30—20:00
whatsapp telegram vk email

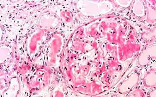
Амилоидоз почек: причины и лечение

Амилоидоз – что это?

Амилоидоз

Амилоидоз — это группа заболеваний, возникающих из-за нарушений белкового обмена, при которых в тканях формируется и накапливается амилоид. Это уникальный комплекс белков и полисахаридов, который ухудшает функционирование различных органов и тканей.

Амилоид — вещество, которое практически не вырабатывается в здоровом организме. Оно имеет сложную структуру, состоящую из белков и углеводов, и не содержит патогенных микроорганизмов, таких как вирусы или бактерии. Поэтому организм не воспринимает увеличение уровня амилоида как патологическое состояние и не реагирует на него должным образом. В результате борьба с избытком амилоида не происходит, хотя его накопление негативно сказывается на здоровье.

Исследования показывают, что амилоидоз может быть наследственным заболеванием, возникающим из-за сбоев в работе иммунной системы. Однако точные причины его возникновения остаются неясными.

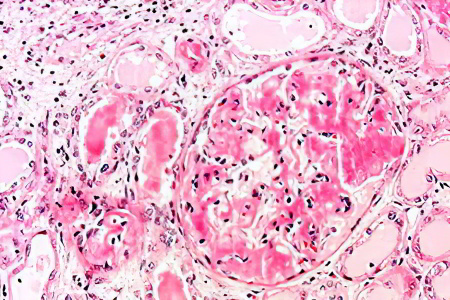
Амилоид представляет опасность для почек. Накопление этого вещества в почечной ткани приводит к её разрушению и нарушению обменных процессов. Патологические изменения развиваются медленно, и симптомы могут быть слабо выражены или отсутствовать. Со временем почки начинают хуже выполнять свои функции, что приводит к задержке жидкости в организме и накоплению вредных веществ, таких как мочевина, мочевая кислота и креатинин.

Амилоидоз

Врачи отмечают, что амилоидоз почек представляет собой серьезное заболевание, которое требует внимательного подхода к диагностике и лечению. Специалисты подчеркивают, что накопление амилоида в тканях почек может привести к их функциональной недостаточности, что, в свою очередь, вызывает необходимость в раннем выявлении и интервенции. По мнению врачей, важным аспектом является мультидисциплинарный подход, включающий нефрологов, гематологов и других специалистов. Это позволяет не только правильно диагностировать заболевание, но и выбрать оптимальную стратегию лечения, включая химиотерапию и поддерживающую терапию. Врачи также акцентируют внимание на необходимости регулярного мониторинга состояния пациентов, чтобы своевременно корректировать терапию и предотвращать прогрессирование болезни.

Амилоидоз - причины, симптомы, диагностика, лечение, патологияАмилоидоз — причины, симптомы, диагностика, лечение, патология

Причины амилоидоза

В зависимости от факторов, вызвавших амилоидоз, выделяют три его типа:

  • Первичный амилоидоз. Эта форма заболевания наследуется. Изменения в хромосомах приводят к тому, что клетки иммунной системы начинают производить аномальные белковые соединения, которые затем превращаются в амилоид.
  • Вторичный амилоидоз. Эта разновидность болезни возникает на фоне других заболеваний. Хронические патологии нарушают нормальное функционирование иммунных клеток.
  • Старческий амилоидоз. С возрастом организм теряет функциональность, что затрагивает все системы, включая иммунную. Хотя количество лейкоцитов у пожилых людей остается на уровне молодежи, обмен веществ у них изменяется. В результате в организме начинают образовываться патологические соединения, включая амилоид.

Существуют группы людей, находящихся в зоне повышенного риска развития амилоидоза:

  • Люди с семейной историей амилоидоза или другими заболеваниями почек неясной природы.
  • Лица старше 65 лет.
  • Люди с ревматоидным артритом, болезнью Бехтерева, системной красной волчанкой или онкологическими заболеваниями.

Таким людям следует внимательно следить за состоянием почек и при любых нарушениях в их работе обращаться к врачу для исключения амилоидоза.

Причины амилоидоза

Стадия Амилоидоза Почек (по классификации Эванса) Гистологические изменения Клинические проявления
I (минимальные изменения) Легкое отложение амилоида в мезангиуме, без значительного повреждения клубочков. Асимптоматическая стадия, возможно незначительное повышение артериального давления.
II (умеренные изменения) Умеренное отложение амилоида в мезангиуме и базальной мембране клубочков, начальные признаки повреждения клубочков. Протеинурия (до 1 г/сут), умеренная гипертензия, незначительное снижение скорости клубочковой фильтрации (СКФ).
III (выраженные изменения) Значительное отложение амилоида в клубочках, приводящее к их атрофии и склерозу. Выраженная протеинурия (более 3 г/сут), нефротический синдром, артериальная гипертензия, значительное снижение СКФ, развитие хронической почечной недостаточности.
IV (терминальная стадия) Полное замещение клубочков амилоидом, выраженная атрофия почечной ткани. Терминальная стадия хронической почечной недостаточности, уремия, необходимость в диализе или трансплантации почки.

Симптомы амилоидоза

Заболевание развивается медленно. Симптомы появляются постепенно. От первых признаков до ярко выраженных симптомов может пройти более 10, а иногда и 20 лет. Несмотря на медленное прогрессирование, диагностика часто происходит слишком поздно, что затрудняет назначение эффективного лечения пациенту.

Первые симптомы амилоидоза почек

Амилоидоз почек — это заболевание, которое вызывает много вопросов и опасений у пациентов и их близких. Люди, столкнувшиеся с этой проблемой, часто делятся своими переживаниями в социальных сетях и на форумах. Многие отмечают, что диагностика может занять много времени, так как симптомы часто маскируются под другие заболевания. Это приводит к чувству неопределенности и страху перед будущим.

Некоторые пациенты рассказывают о сложностях в лечении, так как амилоидоз требует комплексного подхода и индивидуального выбора терапии. В то же время, многие находят поддержку в сообществах, где делятся опытом и советами. Важным аспектом является необходимость регулярного мониторинга состояния, что также вызывает беспокойство. Тем не менее, люди стараются оставаться оптимистичными и активно искать информацию о новых методах лечения и исследованиях в этой области.

Амилоидоз почек. Как лечить амилоидоз почек.Амилоидоз почек. Как лечить амилоидоз почек.

Первые симптомы амилоидоза почек

На начальных этапах амилоидоз развивается незаметно. Первым сигналом о наличии этой патологии становится белок в моче. Его присутствие не влияет на общее состояние пациента: боли отсутствуют, а артериальное давление остаётся в норме.

Выделение белка с мочой не представляет опасности для здоровья, так как его количество незначительно. Однако этот клинический признак должен насторожить врача, так как он указывает на возможные проблемы с почками. С прогрессированием заболевания данный симптом может привести к множеству патологических изменений.

Белок в моче может выделяться в течение длительного времени, иногда до 10-15 лет. Протеинурию можно выявить только при лабораторных исследованиях. Поэтому всем людям из группы риска рекомендуется дважды в год проходить анализ мочи. Для этого достаточно посетить поликлинику по месту жительства.

Основные симптомы прогрессирующего амилоидоза

С прогрессированием заболевания в организме накапливается значительное количество амилоида, что нарушает его функционирование. Почки теряют способность эффективно фильтровать и удерживать жизненно важные вещества. В результате с мочой ежедневно теряется около 3 г белка, тогда как нормальные потери составляют всего 0,13 г/л. У пациентов начинают проявляться отёки, которые могут варьироваться от легкой отёчности лица до значительного накопления жидкости в тканях и органах.

Дополнительные симптомы амилоидоза:

  • Увеличение частоты и объема мочеиспускания. Поскольку почечный фильтр не справляется с задачами, за день может выделяться до 10 л мочи. Это состояние называется почечным диабетом. Несмотря на значительные потери жидкости, отёки не уменьшаются, так как часть жидкости покидает кровеносные сосуды и проникает в ткани.
  • Изменения артериального давления. При амилоидозе оно может как повышаться, так и понижаться. Предсказать, какой именно сбой произойдет у конкретного пациента, невозможно. Однако чаще всего наблюдается пониженное артериальное давление.
  • Изменение цвета мочи. Она может приобретать красноватый оттенок, что свидетельствует о разрушении почек.
  • Увеличение массы тела. Вес может расти из-за отёков и нарушений обмена жиров, вызванных дисфункцией почек. У пациента повышается уровень холестерина, триглицеридов и липопротеидов, что приводит к накоплению жира в тканях и увеличению цифры на весах.

Такой комплекс симптомов врачи называют амилоидно-липоидным нефрозом. Средняя продолжительность этой стадии составляет около 6 лет. Если в этот период заболевание будет выявлено и начнется лечение, прогноз может быть относительно благоприятным. В противном случае болезнь может перейти в стадию необратимых изменений.

Амилоидоз почек. Рамеев Вилен Вилевич, д.м.н., профессорАмилоидоз почек. Рамеев Вилен Вилевич, д.м.н., профессор

Необратимые поражения почек

На этой стадии наблюдается потеря функций почек. Они не только перестают фильтровать белок, но и начинают задерживать токсины, такие как мочевая кислота, мочевина, билирубин и креатинин.

Основные симптомы, проявляющиеся в первую очередь:

  • Сильная слабость.
  • Проблемы с концентрацией.
  • Головные боли.
  • Головокружение.
  • Потеря сознания.
  • В некоторых случаях пациент может впасть в кому.

У пациента устанавливается диагноз хронической почечной недостаточности. При этом наблюдается пониженное артериальное давление и признаки нарушений в работе других органов, так как в них также начинает накапливаться амилоид.

К таким нарушениям относятся:

  • Изменения кожи. На лице, шее, подмышками и в подколенных ямках появляются полупрозрачные узелки. Кожа под глазами отекает, а в области запястья становится сухой.
  • Проблемы с сердцем. У пациента возникает одышка, особенно после физической активности. Также могут появляться боли в груди, локализующиеся с левой стороны.
  • Нарушения в органах ЖКТ. Язык увеличивается, на нем видны отпечатки зубов. Спустя несколько часов после еды возникают боли в правой части живота. Кал становится черным, блестящим и имеет неприятный запах, что может указывать на желудочное или кишечное кровотечение. Задержка стула может составлять 3 дня и более.
  • Проблемы с суставами. Утром пациент ощущает скованность в конечностях, которая уменьшается после движения.
  • Нарушения в нервной системе. Чувствительность в стопах и кистях снижается, кожа на этих участках становится менее эластичной и начинает шелушиться.

Даже наличие одного из перечисленных симптомов может стать основанием для подозрения на амилоидоз.

Необратимые поражения почек

Диагностика

Для диагностики заболевания потребуется приложить определенные усилия, так как на ранних этапах оно может протекать бессимптомно. Пациенту необходимо пройти следующие анализы, которые представлены в таблице.

Тип анализа Признаки изменений
КАК (клинический анализ крови) * Скорость оседания эритроцитов (СОЭ) увеличивается до 15 мм/час. * Количество лейкоцитов достигает 9×10^9 клеток/л.
БАК (биохимический анализ крови) * Концентрация С-реактивного белка достигает 5 мг/л. * Уровень креатинина превышает 110 ммоль/л. * Концентрация мочевины возрастает до 7,6 ммоль/л. * Уровень мочевой кислоты увеличивается до 400 ммоль/л. * Общий белок в крови снижается до 67 г/л.
КАМ (клинический анализ мочи) * Концентрация белка в моче повышается до 0,14 г/л. * В моче выявляются гиалиновые цилиндры, глюкоза, эритроциты и лейкоциты.

Лабораторные исследования не позволяют установить диагноз амилоидоз. Для его подтверждения необходимо провести следующие процедуры:

  • Пункция подкожной клетчатки. Полученный материал анализируется на наличие амилоида с помощью специальных растворов и микроскопии. Обнаружение амилоида служит основанием для диагностики амилоидоза.
  • Пункция почки. Эта процедура аналогична пункции подкожной клетчатки, но образец берется непосредственно из почки.

Кроме того, пациента направляют на ультразвуковое исследование почек, компьютерную томографию или магнитно-резонансную томографию. Хотя эти методы не позволяют выявить амилоид, они помогают оценить степень поражения мочевыделительной системы.

Лечение амилоидоза почек

Лечение амилоидоза почек — сложная задача, так как заболевание трудно поддается коррекции. Полностью удалить амилоид из органов медикаментами или физиотерапией невозможно. Однако при раннем начале терапии можно замедлить прогрессирование болезни и предотвратить серьезные повреждения почек.

Соблюдение диеты

Правильное питание — ключевой аспект в лечении амилоидоза. Чтобы уменьшить выработку амилоида и снизить нагрузку на почки, необходимо исключить или ограничить в рационе следующие продукты:

  • Соль. Можно немного подсаливать блюда в процессе приготовления, но добавлять соль в готовую пищу не рекомендуется. Консервы и соленые продукты следует полностью исключить.
  • Казеин. Это вещество содержится в молочных продуктах и спортивных питательных смесях.
  • Говядина и телятина.

В рацион могут входить крупы, овощи, баранина и курятина. Мучные изделия лучше исключить, особенно для людей с избыточным весом.

Лечение амилоидоза почек

Приём лекарственных препаратов:

Название препарата Механизм действия Побочные эффекты
Унитиол Препарат связывает белки, из которых формируется амилоид, что замедляет развитие заболевания. Возможны головокружение, учащенное сердцебиение и тошнота.
Димексид Регулярный прием этого лекарства значительно улучшает общее состояние пациента, однако точные механизмы действия до сих пор не установлены. У некоторых пациентов могут проявляться аллергические реакции, нарушения пищеварения и рвота.
Делагил или Плаквенил Эти медикаменты блокируют выработку определенных ферментов, что замедляет образование амилоида. Они особенно эффективны при ранней диагностике заболевания. Возможны диспепсические расстройства, эмоциональная нестабильность, снижение иммунной защиты и ухудшение остроты зрения.

Универсальной схемы лечения амилоидоза не существует, поэтому врач может вносить изменения в терапию по своему усмотрению.

Трансплантация почки применяется редко и только в крайних случаях, когда существует угроза жизни пациента. Кроме того, найти подходящего донора в России представляет собой значительную проблему, что делает такие операции редкими.

Прогноз

При своевременном начале лечения можно отложить развитие болезни на 30-40 лет. В целом, качество жизни людей с амилоидозом остается на приемлемом уровне, хотя время от времени они могут испытывать дискомфорт.

Смерть пациентов от амилоидоза происходит только в случаях, когда почки подвергаются необратимым изменениям. Это может произойти при быстром прогрессировании заболевания или его поздней диагностике.

Ответы на популярные вопросы

Каков эффект от Колхицина в лечении амилоидоза? В настоящее время этот препарат используется редко из-за риска серьезных побочных эффектов. Тем не менее, его эффективность в терапии амилоидоза подтверждена. Поэтому, если врач рекомендует Колхицин, стоит следовать его рекомендациям.

Каковы риски наследственной передачи болезни? Да, такие риски существуют. Они увеличиваются, если амилоидоз наблюдается у нескольких членов семьи. Для их минимизации перед планированием беременности необходимо максимально снизить активность патологического процесса.

Существуют ли профилактические меры против амилоидоза? К сожалению, на данный момент такие меры не разработаны.

Может ли болезнь рецидивировать после трансплантации почки? Да, такая возможность существует, и она достаточно высока. Однако между началом заболевания и появлением первых симптомов проходит примерно 15 лет. Если лечение начнется своевременно, этот период может увеличиться в 2-3 раза. Таким образом, повторное поражение почки может не успеть развиться вновь.

Ответы на популярные вопросы

Вопрос-ответ

Как проявляется амилоидоз почек?

При амилоидозе могут наблюдаться не только почечные, но и внепочечные симптомы. Системными проявлениями амилоидоза являются слабость, одышка, аритмия, головокружение, анемия. Если к заболеванию присоединяется амилоидоз кишечника, то у пациента развивается стойкая диарея.

Сколько живут с амилоидозом почек?

Средняя продолжительность жизни после установления диагноза в среднем составляла всего 13 месяцев.

Какие симптомы характерны для 1 стадии амилоидоза почек?

Основные этапы протекания амилоидоза почек: самый ранний этап болезни характеризуется увеличением холестерина в крови и первыми признаками легкого отека. Второй этап отличается сильными отеками, которые проявляются вследствие простудных заболеваний, как пневмония, тяжелая форма ОРВИ, инфекционная ангина и малярия.

Советы

СОВЕТ №1

Регулярно проходите медицинские обследования. Ранняя диагностика амилоидоза почек может значительно улучшить прогноз. Обратите внимание на симптомы, такие как отеки, повышенное артериальное давление и изменения в мочеиспускании, и не откладывайте визит к врачу.

СОВЕТ №2

Следите за своим питанием. Ограничение потребления соли и белка может помочь снизить нагрузку на почки и улучшить общее состояние. Консультируйтесь с диетологом для составления индивидуального плана питания, который будет учитывать ваши потребности и состояние здоровья.

СОВЕТ №3

Поддерживайте активный образ жизни. Умеренные физические нагрузки, такие как прогулки или легкие упражнения, могут помочь улучшить общее состояние организма и поддерживать здоровье почек. Однако перед началом новой физической активности обязательно проконсультируйтесь с врачом.

СОВЕТ №4

Обсуждайте с врачом возможные варианты лечения. В зависимости от типа амилоидоза и его стадии, могут быть предложены различные методы лечения, включая медикаментозную терапию или, в некоторых случаях, трансплантацию почки. Не стесняйтесь задавать вопросы и уточнять все детали.

Ссылка на основную публикацию
Похожее